Main menu
Common skin conditions
NEWS
Join DermNet PRO
Read more
Quick links
Created 2003. Updated by Adjunct A/Prof Amanda Oakley, Dermatologist, Hamilton, New Zealand. July 2020.
Introduction
Demographics
Causes
Clinical features
Diagnosis
Differential diagnoses
Treatment
Tinea nigra is a mould infection of the skin of the palm or sole presenting as persistent brown or black patches.
Tinea nigra is most common in tropical regions and often infects those with a tendency to excessive sweating (hyperhidrosis).
Tinea nigra is due to infection with a brown mould, Hortaea werneckii. This mould usually inhabits soil.
The organism's previous names include:
In 2024, a new species of mould, Cyphellophora ludoviensis, was identified as the causative organism of a case in South Korea.
Tinea nigra presents as unilateral or asymmetrical brown or black patches on the palms or soles. They are slightly scaly and do not itch or sting. The patches slowly enlarge. Dermoscopy can help distinguish tinea nigra from other brown-black skin lesions.

Tinea nigra

Tinea nigra

Dermoscopy of tinea nigra
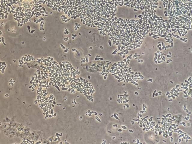
Tinea nigra may be suspected clinically but should be confirmed by mycology. Scrapings that have been taken from the edge of the scaly lesion show a mycelium. The hyphae can be clear in colour, yellow or brown, and are septate.
Culture grows black colonies of Hortaea werneckii within a week.
The diagnosis may also be made on skin biopsy because of the characteristic histopathological features of tinea nigra.

Microscopy of Hortaea werneckii

Culture of Hortaea werneckii
Tinea nigra usually clears with a topical antifungal applied for 2–4 weeks.