Main menu
Common skin conditions
NEWS
Join DermNet PRO
Read more
Quick links
Diagnosis and testing Inflammation
Author: Adjunct A/Prof Patrick Emanuel, Dermatopathologist, Clínica Ricardo Palma, Lima, Peru. DermNet Editor in Chief: Adjunct A/Prof Amanda Oakley. October 2018.
Introduction Histology Special studies Differential diagnoses
Pseudoepitheliomatous keratotic and micaceous balanitis is a coronal balanitis that gradually takes on a silvery white appearance due to mica-like crusts and keratotic horny masses on the glans.
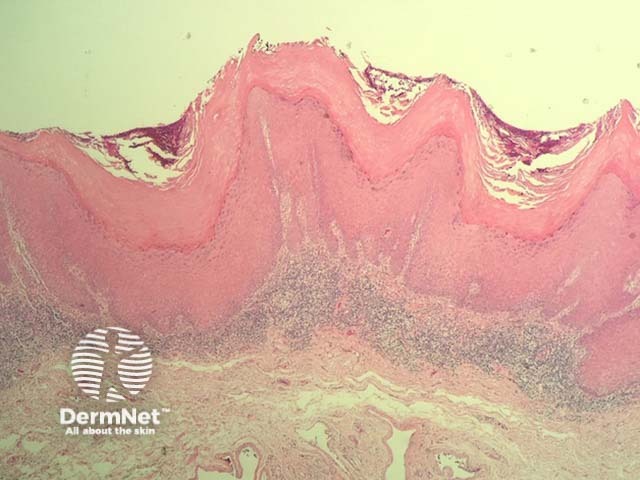
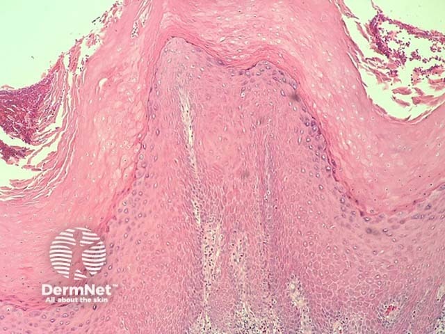
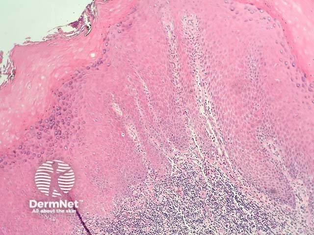
In pseudoepitheliomatous keratotic and micaceous balanitis, the histology shows acanthosis, hyperkeratosis and pseudoepitheliomatous hyperplasia with no cytological atypia (figures 1–3). There are non-specific dermal infiltrates.

Figure 1

Figure 2

Figure 3
A PAS stain is useful to exclude a fungal infection.
Other diagnoses to be considered include: