Main menu
Common skin conditions
NEWS
Join DermNet PRO
Read more
Quick links
Lesions (benign) Diagnosis and testing
Authors: Assoc Prof Patrick Emanuel, Dermatopathologist, Auckland, New Zealand, 2013.
Lipomas are common, usually asymptomatic tumours composed of mature adipose tissue. They have a predilection for the subcutaneous tissue of the trunk and extremities but have been described in a wide range of anatomic locations. They occur in multiplicity in several distinct clinical syndromes.
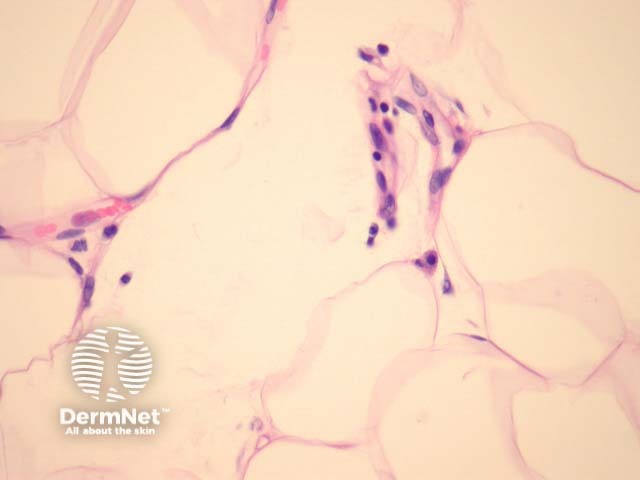
Sections show mature adipose tissue (figures 1-3). The fat contains few small capillaries within thin fibrous strands. A thin fibrous capsule is often seen.
Fat necrosis and other inflammatory changes may be seen when lipomas are traumatised.

Figure 1

Figure 2

Figure 3
Cytogenetic abnormalities can be identified in approximately half of lipomas but are generally not required for diagnostic purposes. Characteristic rearrangements involve chromosomes 12, 6, and 13.
Normal fat — Distinction from normal fat can sometimes be difficult. Circumscription and encapsulation of lobules favours a lipoma. Clinical history may be essential, especially when dealing with emulsified fat specimens (liposuction specimens from lipomas or weight loss procedures).
Well-differentiated liposarcoma — Some areas of well-differentiated liposarcoma can be exceedingly bland and mimic a lipoma. Liberal sampling and histologic examination of fatty tumours is recommended to search for atypical areas.