Main menu
Common skin conditions
NEWS
Join DermNet PRO
Read more
Quick links
Infections Diagnosis and testing
Author: Assoc Prof Patrick Emanuel, Dermatopathologist, Auckland, New Zealand, 2013.
Introduction Histology Special studies Differential diagnoses
Impetigo is a common superficial bacterial infection of the skin. Streptococcus and/or Staphylococcus species are the usual causative organisms.
There are two clinical forms: bullous and common. The common type is rarely biopsied.
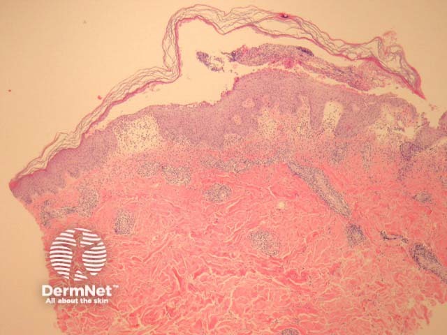
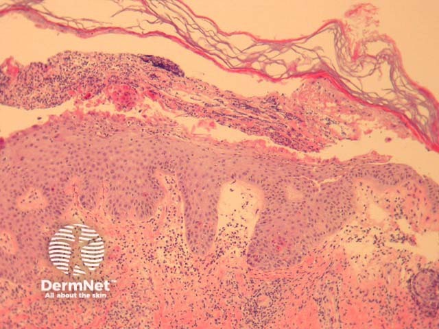
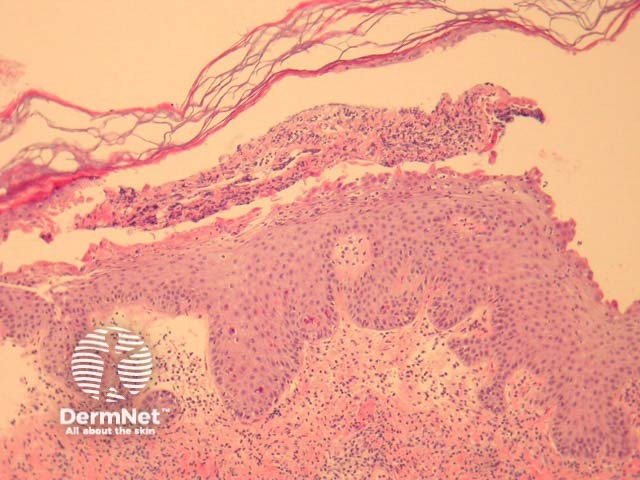
The bullous form of impetigo shows a subcorneal bulla with a dermal inflammatory response (figure 1). There are acantholytic cells in the superficial epidermis accompanying degenerated keratinocytes and small numbers of neutrophils (figure 2, 3). Gram positive cocci may be seen within the superficial epidermis.
The common type of impetigo shows subcorneal collections of neutrophils, serum and parakeratotic foci. There is usually a dermal inflammatory response. The organisms may be difficult to isolate with gram stains.

Figure 1

Figure 2

Figure 3
Gram stain may be helpful to demonstrate the organisms. Correlation with culture results can sometimes be helpful.
Staphylococcal scalded skin syndrome — also exhibits a subcorneal bulla with acantholytic cells. The inflammatory response in the dermis and superficial neutrophils are typically absent.
Pemphigus foliaceus — also exhibits a subcorneal bulla with acantholytic cells. The inflammatory response in the dermis and superficial neutrophils are typically absent. Immunofluorescence can be helpful in confirming this diagnosis.