Main menu
Common skin conditions
NEWS
Join DermNet PRO
Read more
Quick links

Candidal vulvovaginitis

Psoriasis

Acute herpetic paronychia


Candidal vulvovaginitis

Majocchi granuloma

Acute staphylococcal paronychia


Candida infection


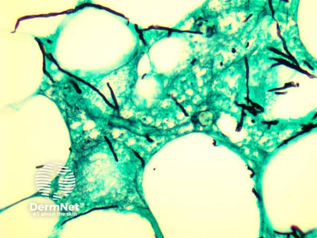
Histopathology

Tinea corporis


Pityriasis versicolor


Athlete foot

Tinea corporis

Fungal beard infection



Pityriasis versicolor

Eczema

Paronychia and ingrown toenail in an athlete

Aspergillus skin lesion

Tinea pedis

Tinea pedis

Tinea pedis

Cutaneous aspergillosis

Fungal beard infection


Majocchi granuloma


Candida infection


Tinea pedis

Tinea corporis

Pityriasis versicolor

Malassezia folliculitis


Primary zoophilic dermatophyte infection

Chromoblastomycosis

Tinea corporis


Majocchi granuloma

Case 2

Case 1

Clusters of papules on knees

Tinea faciei


Oral thrush

Candidal vulvovaginitis

Tinea pedis

Tinea incognita - face

Malassezia folliculitis


Tinea capitis



Fungal beard infection

Image supplied by Dr Shahbaz A. Janjua

Grey patch scalp ringworm


Tinea pedis

Candidal vulvovaginitis

Pseudomonas infection


Tinea pedis

Tinea corporis

Crusted itchy papules




Histopathology

Pityriasis versicolor

Nail dystrophy

Kerion - inflammatory tinea corporis

Candidal nail infection

Pompholyx-like reaction

Tinea cruris

Nailfold swelling

Malassezia folliculitis