Main menu
Common skin conditions
NEWS
Join DermNet PRO
Read more
Quick links
Author: Dr Ben Tallon, Dermatologist/Dermatopathologist, Tauranga, New Zealand, 2012.
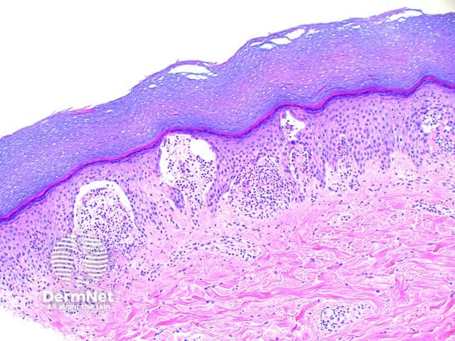
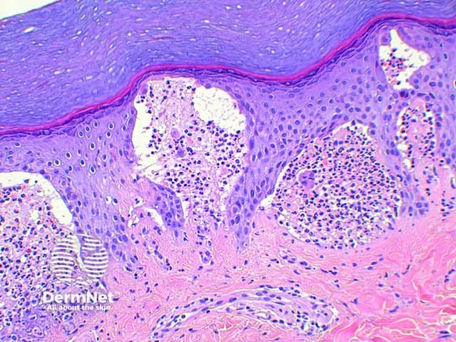
Scanning power view of dermatitis herpetiformis shows vesicular reaction pattern (Figure 1), characterized by foci or small zones of subepidermal separation (Figures 2 and 3). Dense clusters of neutrophils and scattered eosinophils fill the papillary dermis forming microabscesses (Figure 4). Acantholytic keratinocytes may also be evident within the papillary microabscess (Figure 4). With time the small areas of papillary dermal separation may join to form larger areas of vesiculation.

Figure 1

Figure 2

Figure 3

Figure 4
Pemphigus herpetiformis: Strictly a variant of pemphigus, it is mentioned here as it may present as a clinical mimic of dermatitis herpetiformis. The histology is that of pemphigus, typically foliaceous type, with formation of intraepidermal vesicles.
Direct immunofluorescence studies show granular deposits of IgA in the dermal papillae.
Herpes virus infection: Despite the occasional presence of acantholytic keratinocytes, dermatitis herpetiformis does not show multinucleation, nuclear chromatin changes or cellular inclusions.
Linear IgA bullous dermatosis: The histological findings are largely identical, though acantholysis and fibrin at the tips of the dermal papillae and leukocytoclasis is more common in dermatitis herpetiformis. The immunofluorescence findings will show a linear basement membrane IgA staining.
Bullous lupus erythematosus: The histology may be identical with discrimination only possible where linear IgG and IgM is found at the basement membrane. Deposits of IgA can also be seen concurrently. Frequently the dermal papillary neutrophilic infiltrate is seen to extend into the surrounding interstitium.
Cicatricial pemphigoid: In early lesions papillary abscess formation can be seen, though the eosinophilic population increases with lesion time. The key distinguishing feature is the presence of dermal scarring beneath the blister. Immunofluorescence also differs with linear IgG typically seen at the basement membrane. Exceptional cases may show IgA deposition alone.