Main menu
Common skin conditions
NEWS
Join DermNet PRO
Read more
Quick links
Infections Diagnosis and testing
Author: Dr Patrick Emanuel, Dermatopathologist, Clinica Ricardo Palma, Lima, Peru. DermNet Editor-in-chief: Adjunct A/Prof Amanda Oakley. June 2018.
Introduction
Histology
Special studies
Differential diagnoses
Chickenpox is caused by primary infection with the varicella-zoster virus, of the Herpesviridae family. It presents clinically as a highly contagious illness characterised by an acute fever and blistered rash.
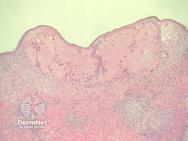
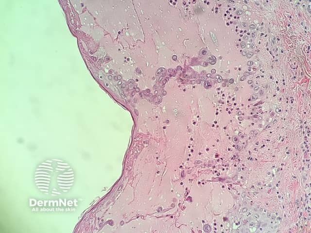
The low power pattern of a typical lesion of chickenpox is an intraepidermal blister (figure 1). The key feature is acantholysis with solitary keratinocytes within the blister cavity. These acantholytic keratinocytes show characteristic viropathic effects: margination of the nuclear chromatin, multinucleation and nuclear inclusions (figures 2,3).

Figure 1

Figure 2

Figure 3
Immunohistochemistry can be performed on the tissue block to demonstrate varicella virus within the epithelium.
Viral culture or PCR can be performed on the lesions to verify the diagnosis.
Herpes simplex, varicella and herpes zoster infections show identical histology. Clinical correlation or immunohistochemistry and/or viral culture or PCR (of an appropriate swab or tissue specimen) is required to differentiate these viral infections.